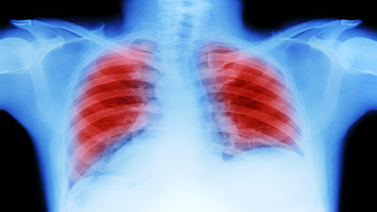
سرطان الرئة: علامة "العلم الأحمر" التي تظهر عند السعال!

آذار 2022 الساعة 21:44
Lighthouse
logo
close
سيكون لديك دائمًا ما تتحدث عنه!
من الأخبار العاجلة إلى آراء الكتّاب، مرورًا بنصائح صحية مفيدة, لا لحظة مملة هنا!
دائمًا هناك ما يستحق المشاركة.
illustration