الرنين المغناطيسي يكشف تأثير كوفيد-19 على الدماغ

الرنين المغناطيسي يكشف تأثير كوفيد-19 على الدماغ

A- A+

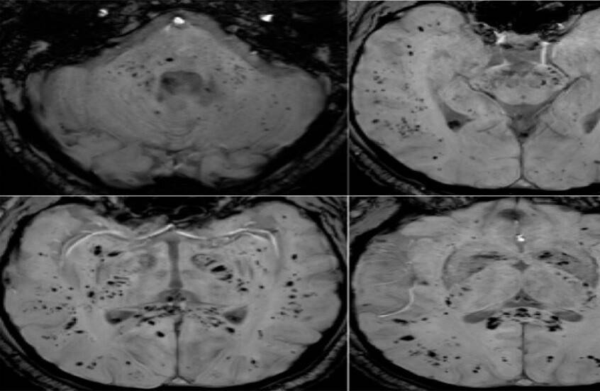
أظهر تحليل صور بالرنين المغناطيسي أن فيروس كوفيد-19 يترك أثرا لا يُمحى في الدماغ، ويستمر تأثيره حتى بعد التعافي التام.

أظهرت دراسة حديثة أجراها علماء في جامعة غريفيث الأسترالية ونُشرت في مجلة Brain, Behavior, & Immunity Health أن فيروس كوفيد-19 لا يؤثر على الجهاز التنفسي فحسب، بل يترك أثرا ملموسا على الدماغ، ويستمر تأثيره حتى لدى الأشخاص الذين يعتبرون أنفسهم متعافين تماما، حتى إذا لم تظهر عليهم أعراض واضحة.

وأوضح الباحث الرئيسي الدكتور كيران تاباليا أن الفريق استخدم طرق التصوير بالرنين المغناطيسي متعددة الوسائط لدراسة المادة الرمادية والبيضاء في الدماغ، وهي مهمة للذاكرة والوظائف الإدراكية والصحة العامة للدماغ. ووجد الباحثون اختلافات ملحوظة في أنسجة الدماغ وموادها الكيميائية العصبية وشدة الإشارة وبنية الأنسجة لدى المتعافين من كوفيد-19، حتى في حالات الإصابة التي اعتبرت بسيطة.

وأضاف تاباليا: "تبين أن التغيرات في أنسجة الدماغ مرتبطة بشدة الأعراض"، ما قد يفسر مشكلات إدراكية طويلة الأمد مثل تدهور الذاكرة والتركيز، والتي قد تستمر لشهور أو حتى سنوات بعد الإصابة.

وتشير النتائج إلى العواقب العصبية طويلة المدى للفيروس، وهو ما أكدته أيضا منظمة الصحة العالمية، التي أعلنت مؤخرا أن الأعراض طويلة الأمد بعد كوفيد-19 لا تزال مشكلة خطيرة تؤثر على عدد كبير من الناس.

Lighthouse
logo
close
سيكون لديك دائمًا ما تتحدث عنه!
من الأخبار العاجلة إلى آراء الكتّاب، مرورًا بنصائح صحية مفيدة, لا لحظة مملة هنا!
دائمًا هناك ما يستحق المشاركة.
illustration